Göz Kapağı Tümörleri


He­man­ji­yom

Ka­pil­ler he­man­ji­yom ge­nel­lik­le ha­ya­tın ilk haf­ta­la­rın­da gö­rü­lür ve sık­lık­la ka­pak­la­rı tu­tar. İn­si­dan­sı yak­la­şık ola­rak 1/200 can­lı do­ğum ola­rak tah­min edil­mek­te­dir. He­man­ji­yom­la­rın %95’i do­ğu­mu ta­kip eden 6 ay için­de be­lir­gin ha­le ge­lir­ken do­ğum­da an­cak %20’si sap­ta­na­bil­mek­te­dir.

Kır­mı­zı–mor renk­li, yü­zey­den ha­fif ka­ba­rık lez­yon ha­ya­tın ilk 6 ayın­da hız­lı bir bü­yü­me ser­gi­ler­ken, bir ya­şın­dan son­ra bü­yü­me hı­zı aza­lır. Lez­yon­la­rın yak­la­şık %75’i 7 ya­şı­na ka­dar ken­di­li­ğin­den mü­kem­mel sa­yı­la­bi­le­cek bir koz­me­tik so­nuç ile ge­ri­le­me gös­te­rir.

Gör­me ek­se­ni­ni ka­pa­ta­cak ka­dar bü­yü­müş olan tü­mör­ler dep­ri­vas­yon amb­li­yo­pi­si ve as­tig­ma­tik kır­ma ku­su­ru­na se­bep ola­bi­le­cek­le­ri için va­kit kay­be­dil­me­den te­da­vi edil­me­li­dir.

Te­da­vi­de in­tra­lez­yo­nel tri­am­si­no­lon ve be­ta­me­ta­zon en­jek­si­yon­la­rı, sis­te­mik ste­ro­id te­da­vi­si ve ce­vap­sız ol­gu­lar­da cer­ra­hi yak­la­şım dü­şü­nül­me­li­dir. Lez­yon içi­ne en­jek­si­yon­la san­tral re­ti­na ar­te­ri tı­ka­nan ol­gu­lar bil­di­ril­miş­tir.

Ka­ver­nöz he­man­ji­yom­lar ge­nel­lik­le or­bi­ta kay­nak­lı ol­ma­la­rı­na rağ­men ka­pak tu­tu­lu­mu da iz­le­ne­bil­mek­te­dir. İzo­le bir lez­yon ola­rak gö­rü­le­bi­le­ce­ği gi­bi Stur­ge-We­ber sen­dro­mu­na eş­lik eden ne­vus fla­me­us tab­lo­su ile de or­ta­ya çı­ka­bi­lir. Te­da­vi­sin­de cer­ra­hi, ki­yo­te­ra­pi, rad­yo­te­ra­pi, skle­ro­zan ajan­lar kul­la­nı­la­bi­lir. Çev­re do­ku­la­ra da­ha az za­rar ver­me­si açı­sın­da ayar­la­na­bi­lir dye-la­zer ab­las­yon te­da­vi­si son yıl­lar­da da­ha çok ter­cih edi­len bir se­çe­nek ha­li­ne gel­miş­tir.

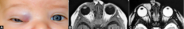
 A. Üst kapakta optik ekseni kapayan kapiller hemanjiyom. Ambliyopi nedeniyle acilen tedavisi gerekir. B-C. MR görüntüsü.

Len­fan­ji­yom

Kon­je­ni­tal ve­ya ya­şa­mın ilk yıl­la­rın­da or­ta­ya çı­kan len­fan­ji­yom, ka­pak­la­rın ya­nı­sı­ra kon­jonk­ti­va ve or­bi­tayı da tutabilir. Or­bi­ta tu­tu­lur­sa spon­tan ka­na­ya­bi­lir; tab­lo sub­kon­jonk­ti­val ka­na­ma, dif­füz ka­pak he­ma­to­mu ve­ya akut prop­to­zis ile kli­ni­ğe yan­sı­ya­bi­lir. Spon­tan ka­na­ma son­ra­sı “çi­ko­la­ta kist­le­ri” olu­şa­bi­lir ve ken­di­li­ğin­den re­zor­be olur­lar.

Tü­mör anas­to­moz­lar ya­pan di­la­te len­fa­tik ka­nal­lar­dan oluş­muş­tur ve iyi ge­liş­miş ger­mi­nal mer­kez­li len­fo­id fo­li­kül­ler içe­rir. Bu yüz­den üst so­lu­num yol­la­rı en­fek­si­yon­la­rı sı­ra­sın­da lez­yo­nun ça­pın­da ge­niş­le­me gö­rü­le­bi­lir.

Tü­mör kap­sül­süz olup in­fil­tra­tif ya­yı­lım pa­ter­ni ser­gi­ler, bu yüz­den cer­ra­hi ola­rak tü­müy­le ek­si­ze edil­me­si ol­duk­ça güç­tür. Nüks sık­tır.

Der­mo­id Kist

Der­mo­id kist, yü­zey ek­to­der­mi­ni oluş­tu­ran ele­man­la­rın kaş, ka­pak ve or­bi­ta­da em­bri­yo­nik klef­tin ka­pan­ma böl­ge­le­rin­de hap­sol­ma­sı so­nu­cu ge­li­şen ko­ris­to­ma­töz mal­for­mas­yon­dur. Pe­di­at­rik po­pu­las­yon­da en sık göz­le­nen iyi huy­lu or­bi­ta tü­mö­rü­dür. En sık kaş­la­rın dış kıs­mın­da ve üst ka­pak­lar­da iz­le­nir .

7-17 Üst kapakta orbita içine uzanmayan dermoid.

Lez­yon ge­nel­lik­le cilt ile bağ­lan­tı­lı de­ğil­dir ve cilt al­tın­da ra­hat ha­re­ket eden yu­mu­şak kit­le ola­rak pal­pe edi­lir. An­cak alt­ta em­bri­yo­nik kleft böl­ge­sin­de pe­ri­ost ile sı­kı ya­pı­şık­lık gös­te­rir.

Kis­tin alt­ta ya­pı­şık ol­du­ğu ke­mik­ten dis­e­ke edi­le­rek muh­te­vi­ya­tı bo­şal­ma­dan ek­si­ze edil­me­si ge­re­kir. Kist içi muh­te­vi­yat cer­ra­hi ve­ya trav­ma sı­ra­sın­da bo­şa­la­cak olur­sa çev­re do­ku­lar­da ya­ban­cı ci­sim gra­nü­lo­ma­töz re­ak­si­yo­nu­na se­bep ola­bi­lir.